몸이 으슬으슬하고 컨디션이 떨어질 때,
“감기인가?”, “알레르기인가?” 하고 넘기는 경우가 많습니다.
하지만 비슷해 보이는 초기 증상 뒤에 대상포진이 숨어 있는 경우도 적지 않습니다.
특히 대상포진은 초기에 놓치면 신경통으로 오래 고생할 수 있기 때문에,
감기·알레르기와의 차이를 정확히 아는 것이 중요합니다.
오늘은 헷갈리기 쉬운 세 질환의 차이를 한눈에 정리해 드리겠습니다.
대상포진이란 무엇인가요?

대상포진은 어릴 때 앓았던 수두 바이러스가 몸속에 잠복해 있다가
면역력이 떨어질 때 다시 활성화되면서 생기는 질환입니다.
주로 신경을 따라 통증과 발진이 나타나며,
50대 이상이나 스트레스가 많은 분들에게 특히 많이 발생합니다.
감기·알레르기와 헷갈리는 이유

대상포진 초기에는 다음과 같은 증상이 먼저 나타나는 경우가 많습니다.
- 몸살처럼 몸이 쑤심
- 미열, 피로감
- 두통
- 특정 부위가 찌릿찌릿하거나 화끈거림
이 시기에는 피부 발진이 아직 없기 때문에
감기나 단순 컨디션 저하로 착각하기 쉽습니다.
대상포진 vs 감기 vs 알레르기 차이 비교
1️⃣ 통증의 성격이 다릅니다

- 대상포진:
찌르는 듯한 통증, 타는 듯한 통증이 한쪽으로만 나타나는 경우가 많습니다. - 감기:
전신 근육통, 몸살 느낌이 중심입니다. - 알레르기:
통증보다는 가려움, 콧물, 재채기가 주 증상입니다.
👉 한쪽 몸만 아프다면 대상포진을 의심해볼 필요가 있습니다.
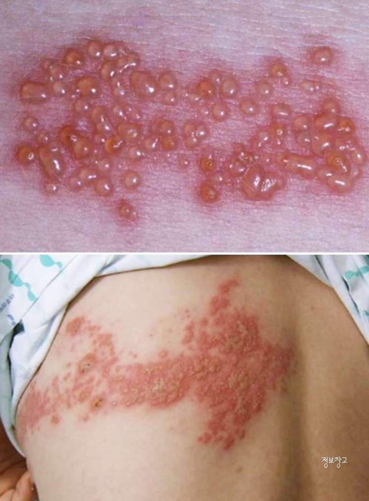
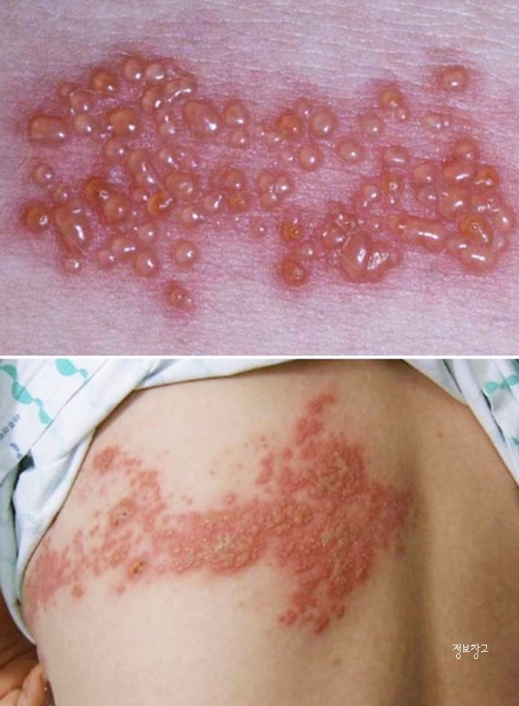
2️⃣ 피부 변화의 양상이 다릅니다

- 대상포진:
며칠 후 띠 모양의 물집·발진이 신경을 따라 나타납니다. - 감기:
피부 증상은 거의 없습니다. - 알레르기:
두드러기나 붉은 반점이 양쪽에 대칭적으로 나타나는 경우가 많습니다.
👉 통증 후에 물집이 생긴다면 대상포진 가능성이 큽니다.
3️⃣ 증상이 나타나는 위치가 다릅니다

- 대상포진:
얼굴, 옆구리, 등, 허리 등 신경 라인 한쪽에 집중 - 감기:
코, 목, 기관지 중심 - 알레르기:
코, 눈, 피부 전반
4️⃣ 시간 경과에 따른 변화가 다릅니다

- 대상포진:
통증 → 피부 발진 → 물집 → 딱지 순으로 진행 - 감기:
3~7일 내 자연 회복 - 알레르기:
원인 물질 차단 시 빠르게 호전
👉 통증이 점점 심해지고 피부 변화가 따라온다면 지켜보지 말고 병원을 가야 합니다.
이런 경우라면 대상포진 의심하세요
- 한쪽 몸만 유독 아프다
- 만져도 따끔거리거나 옷 스침이 아프다
- 통증이 먼저 생기고 며칠 뒤 발진이 나타난다
- 최근 스트레스가 많았거나 과로했다
- 50대 이상이거나 면역력이 떨어진 상태다
언제 병원에 가야 할까요?
대상포진은 증상 발생 후 72시간 이내에 항바이러스 치료를 시작하면
통증 기간과 합병증 위험을 크게 줄일 수 있습니다.
다음 중 하나라도 해당된다면 바로 병원을 방문하시는 것이 좋습니다.

- 원인을 알 수 없는 한쪽 통증
- 점점 심해지는 신경통
- 얼굴이나 눈 주변 발진
- 고령자, 당뇨·면역질환이 있는 경우
마무리 정리
대상포진은 감기나 알레르기처럼 보여도
통증의 양상, 위치, 피부 변화를 잘 보면 분명한 차이가 있습니다.
특히 “감기겠지” 하고 넘겼다가
수개월 이상 신경통으로 고생하는 경우도 많습니다.
몸의 신호가 평소와 다르다고 느껴진다면
조기에 확인하는 것이 가장 현명한 선택입니다.
2025.12.29 - [건강정보] - 가려움? 따가움? 대상포진 전조증상 이렇게 구별하세요
가려움? 따가움? 대상포진 전조증상 이렇게 구별하세요
갑자기 피부가 가렵거나 따끔거리는 느낌이 들면 단순한 피부 트러블로 넘기기 쉽습니다.하지만 이런 증상이 대상포진의 전조증상일 수도 있다는 사실, 알고 계셨나요?특히 통증보다 먼저 나타
hopestory.xyz
2025.12.08 - [건강정보] - 대상포진 초기증상, 절대 놓치면 안 되는 6가지 신호 알아보자
대상포진 초기증상, 절대 놓치면 안 되는 6가지 신호 알아보자
대상포진은 초기증상 발견 시점이 치료 예후를 좌우하는 질환입니다. 발진이 명확히 나타나기 전에도 몸에서 여러 신호가 나타나지만, 많은 분들이 이를 단순 피로·근육통·감기 전조증상으로
hopestory.xyz
2025.12.02 - [건강정보] - 독감 주사 맞은 팔이 붓고 뜨겁게 느껴질 때? 염증 신호 체크리스트로 정확히 판단해보세요
독감 주사 맞은 팔이 붓고 뜨겁게 느껴질 때? 염증 신호 체크리스트로 정확히 판단해보세요
독감 예방주사를 맞으면 보통은 조금 뻐근하거나 미열이 나는 정도로 지나가지만, 일부 사람들은 팔이 뜨겁고 붓는 느낌 때문에 걱정을 많이 하십니다. “이게 정상 반응인가요?” “염증이 생
hopestory.xyz
'건강정보' 카테고리의 다른 글
| 기침이 2주 넘게 안 멈출 때, 단순 감기 아닐 수 있습니다 (0) | 2026.01.08 |
|---|---|
| 대상포진 통증은 얼마나 오래 갈까? 회복 기간과 신경통으로 가는 경우 (0) | 2026.01.04 |
| 가려움? 따가움? 대상포진 전조증상 이렇게 구별하세요 (0) | 2025.12.30 |
| 대상포진 초기증상, 절대 놓치면 안 되는 6가지 신호 알아보자 (0) | 2025.12.08 |
| 독감 주사 맞은 팔이 붓고 뜨겁게 느껴질 때? 염증 신호 체크리스트로 정확히 판단해보세요 (0) | 2025.12.02 |