
강아지가 갑자기 다리를 절뚝거리거나 한쪽 다리를 들고 걷는 모습을 보이면
보호자분들 입장에서는 바로 걱정이 되실 수밖에 없습니다.
특히 많이 헷갈려 하시는 것이
👉 슬개골 탈구인지,
👉 아니면 단순 염좌(삠) 인지 구별하는 부분인데요.
오늘은
✔ 강아지 다리 절뚝거림의 대표적인 원인
✔ 슬개골 탈구와 염좌의 차이점
✔ 집에서 확인할 수 있는 체크 포인트
✔ 병원에 가야 하는 기준
까지 정리해드리겠습니다.
1. 강아지 다리 절뚝거림, 왜 생길까요?
강아지가 절뚝거리는 이유는 매우 다양하지만
실제 병원 내원 사례 중 가장 많은 원인은 다음 두 가지입니다.
- 슬개골 탈구
- 근육·인대 염좌(삠)
그 외에도
골절, 디스크, 관절염, 발바닥 상처 등도 원인이 될 수 있습니다.
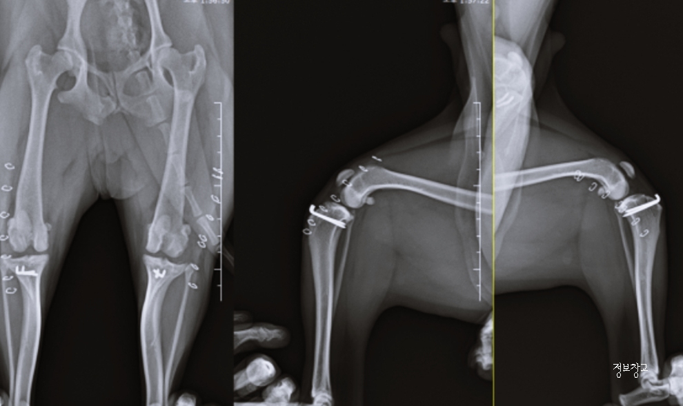
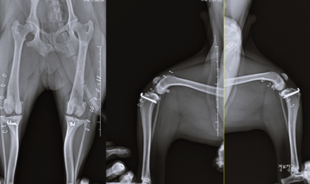
2. 슬개골 탈구란 무엇인가요?

슬개골 탈구는 무릎뼈(슬개골)가 정상 위치에서 벗어나는 질환으로,
특히 소형견에게 매우 흔한 질환입니다.
✔ 슬개골 탈구 특징
- 걷다가 갑자기 한쪽 다리를 들고 뜀
- 몇 걸음 후 다시 정상 보행
- 반복적으로 같은 다리를 절뚝거림
- 산책 중, 흥분했을 때 자주 발생
✔ 흔한 견종
- 말티즈, 푸들, 포메라니안
- 치와와, 요크셔테리어
👉 통증이 없거나 경미해 보여도 반복된다면 슬개골 탈구 가능성이 높습니다.
3. 염좌(삠)란 무엇인가요?

염좌는 근육이나 인대가 순간적으로 늘어나거나 손상된 상태입니다.
✔ 염좌 특징
- 갑작스러운 점프·미끄러짐 후 발생
- 특정 부위를 만지면 아파함
- 며칠 내로 점차 호전되는 경우 많음
- 쉬게 하면 증상이 줄어듦
👉 일시적 외상 후 나타났다면 염좌 가능성이 큽니다.
4. 슬개골 탈구 vs 염좌, 이렇게 구별해보세요

🔍 집에서 체크해볼 수 있는 포인트
✔ ① 절뚝거림이 반복되나요?
- 반복적으로 같은 다리 → 슬개골 탈구 의심
- 하루 이틀 점점 좋아짐 → 염좌 가능성
✔ ② 다리를 들었다가 다시 걷나요?
- 갑자기 들고 뛰다가 정상 → 슬개골 탈구
- 계속 불편해함 → 염좌 가능성
✔ ③ 만졌을 때 통증 반응
- 크게 아파하지 않음 → 슬개골 탈구
- 만지면 싫어하고 움찔 → 염좌 가능성
✔ ④ 나이와 견종
- 소형견·어릴 때부터 반복 → 슬개골 탈구
- 활동 중 사고 후 → 염좌
5. 집에서 해볼 수 있는 초기 대응 (경미한 경우)

⚠ 단, 절뚝거림이 가볍고 통증이 심하지 않을 때만 해당됩니다.
✔ 1) 산책·점프 제한
최소 2~3일은 충분히 쉬게 해주세요.
✔ 2) 미끄럼 방지 환경
집 안에서 미끄러지지 않도록 매트 사용.
✔ 3) 체중 관리
체중 증가 = 무릎 부담 증가입니다.
❌ 사람용 진통제 절대 금지
❌ 강제로 마사지하거나 스트레칭 금지
6. 이런 경우에는 반드시 병원에 가셔야 합니다

다음 중 하나라도 해당된다면 지체 없이 병원 방문이 필요합니다.
- 절뚝거림이 3일 이상 지속
- 점점 심해지는 경우
- 다리를 아예 디디지 않음
- 만지기만 해도 심한 통증 반응
- 절뚝거림이 반복적으로 재발
- 무기력·식욕 저하 동반
특히 슬개골 탈구는
조기 진단이 예후에 매우 중요합니다.
7. 슬개골 탈구, 방치하면 어떻게 될까요?

초기에는 가볍게 보일 수 있지만
방치 시 다음과 같은 문제로 이어질 수 있습니다.
- 만성 관절염
- 다리 변형
- 보행 장애
- 수술 필요 가능성 증가
👉 반복된다면 “지켜보자”보다는 진단이 먼저입니다.
마무리 정리
강아지 다리 절뚝거림은
✔ 단순 염좌일 수도
✔ 슬개골 탈구의 신호일 수도 있습니다.
반복성 + 같은 다리 + 소형견
이 세 가지가 겹친다면
슬개골 탈구 가능성을 꼭 염두에 두셔야 합니다.
조기에 관리하면
강아지의 평생 관절 건강을 지킬 수 있습니다.
2026.01.03 - [동물질병정보] - 강아지 눈물 과다·눈곱 심함 원인 & 관리법
강아지 눈물 과다·눈곱 심함 원인 & 관리법
강아지 눈 주변이 항상 젖어 있거나,아침마다 눈곱이 많이 끼어 있는 경우를 흔히 보셨을 텐데요.“원래 이런 건가?” 하고 넘기기 쉽지만,눈물 과다와 눈곱 증가는 눈 건강 이상을 알리는 신호
hopestory.xyz
2026.01.01 - [동물질병정보] - 강아지 귀 염증(외이염) 자가 체크 방법 & 악화되기 전 신호 알아보겠습니다
강아지 귀 염증(외이염) 자가 체크 방법 & 악화되기 전 신호 알아보겠습니다
강아지가 평소보다 귀를 자주 긁거나, 머리를 계속 흔드는 행동을 보인다면단순한 가려움이 아니라 *외이염(귀 염증)*의 초기 신호일 수 있습니다.강아지 귀 염증은 초기에 발견하면 비교적 관
hopestory.xyz
2025.12.29 - [동물질병정보] - 강아지 피부 발적·붉은 반점 원인(알러지·진드기) 7가지 알아보겠습니다
강아지 피부 발적·붉은 반점 원인(알러지·진드기) 7가지 알아보겠습니다
강아지 피부에 갑자기 붉은 반점이나 발적이 생기면 “알러지일까?”, “진드기 때문일까?” 하고 고민하게 되시는 분들이 많습니다. 강아지 피부 문제는 단순한 접촉성 알러지부터 기생충, 세
hopestory.xyz
2025.12.06 - [동물질병정보] - 강아지 기침·거위울음 소리 증상 분석 + 병원 가야 할 기준 알아볼게요
강아지 기침·거위울음 소리 증상 분석 + 병원 가야 할 기준 알아볼게요
강아지가 기침하거나 거위 울음(“흑흑”, “훽훽”) 같은 소리를 내면 보호자 입장에서는 정말 걱정되실 텐데요. 이 소리는 단순한 자극일 수도 있고, 반대로 기관지·심장·감염성 질환 등 중
hopestory.xyz
2025.12.01 - [동물질병정보] - 강아지 켁켁거림·잔기침 원인(기관지·역류·심장) 구별법 알아볼게요
강아지 켁켁거림·잔기침 원인(기관지·역류·심장) 구별법 알아볼게요
강아지가 갑자기 ‘켁켁’, ‘크으릅’, ‘캑캑’ 같은 소리를 내며 잔기침을 반복하면 보호자 입장에서는 많이 걱정되실 거예요. 이 증상은 단순 목에 뭐가 걸렸을 수도 있지만, 기관지·심장·
hopestory.xyz
'동물질병정보' 카테고리의 다른 글
| 고양이 설사 색깔별 원인 총정리, 병원 가야 하는 기준은? (0) | 2026.01.17 |
|---|---|
| 강아지 구강 냄새 심함(입냄새) 원인 + 치석 관리법 알아보겠습니다 (4) | 2026.01.13 |
| 강아지 눈물 과다·눈곱 심함 원인 & 관리법 (0) | 2026.01.04 |
| 강아지 귀 염증(외이염) 자가 체크 방법 & 악화되기 전 신호 알아보겠습니다 (0) | 2026.01.01 |
| 강아지 피부 발적·붉은 반점 원인(알러지·진드기) 7가지 알아보겠습니다 (0) | 2025.12.29 |