
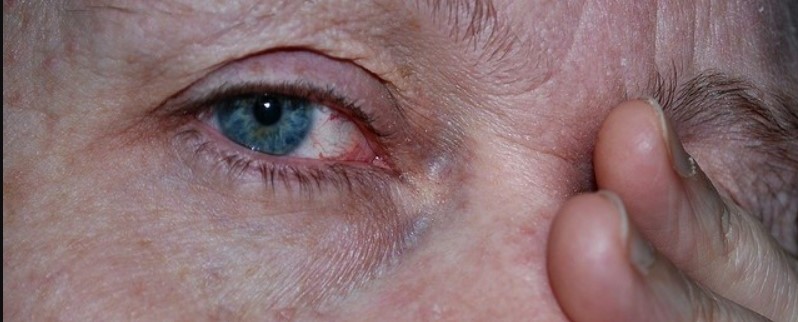
1.안검하수란?
안검 하수라고도 알려진 병리학적 처진 눈꺼풀은 외상, 나이 또는 다양한 의학적 장애로 인해 발생할 수 있습니다.
이 상태는 한쪽 눈에 영향을 미치고 편향된 눈과 양쪽 눈의 영향을받는 경우 양측 눈의 눈의 수라고합니다.
그것은 일시적일 수도 있고 영구적일 수도 있습니다.
선천성 안검하수의 경우 출생시 영향을 받을 수 있으며, 후천성 안검하수의 경우 만년에 발생할 수 있습니다.
상태의 심각성에 따라 위의 눈꺼풀 처짐은 눈동자를 차단하는 방법에 따라
시력을 손상 시키거나 현저하게 감소시킬 수 있습니다.
대부분의 경우 자연적으로 또는 치료로 관리됩니다.

2, 아동의 안구하수
안검하수로 태어난 아이들은 선천성 안검하수라고 불리는 것을 가지고 있습니다.
이것은 공중 부양근 문제 때문일 수 있습니다.
안검 하수의 가장 명백한 증상은 처진 눈꺼풀입니다.
또 다른 징후는 상부 눈꺼풀이 서로 완벽하게 정렬되지 않는다는 것입니다.
안검하수를 가진 아기는 더 잘 보기 위해 머리를 뒤로 젖히거나 턱을 들어 올리거나 세포를 들어 올릴 수 있습니다.
시간이 지남에 따라 이러한 움직임은 머리와 목에 문제를 일으킬 수 있습니다.
때로는 결막염으로 태어난 아이는 다른 눈 질환을 가지고 있을 수 있습니다.
눈 움직임 문제. 눈 근육 질환, 종양 (눈꺼풀 또는 다른 곳) 및 기타 문제를 포함 할 수 있습니다.
안검하수 는 시력 문제를 아기에게 야기시킵니다.
아이의 눈꺼풀이 너무 처져서 시력을 차단하면 약시가 발생할 수 있습니다.
한쪽 눈은 다른 쪽 눈보다 시력이 더 좋습니다.
안검하수증이 있는 아이들은 난시가 있어서 흐릿한 이미지를 볼 수 있습니다.
아이도 비뚤어진 눈을 가졌을지도 모릅니다.
어린이 결막염 치료 : 정형 외과 의사는 어린이의 결막 통증을 치료하기 위해 수술을 권장합니다.
이것은 눈꺼풀을 다른 근육에 연결하여 눈꺼풀 근육을 조이거나 눈꺼풀을 들어 올리는 데 도움이됩니다.
목표는 시력을 향상시키는 것입니다.
아이가 약시를 앓고 있다면이 상태도 치료해야합니다.
약시는 특별한 안약이나 고글을 착용하거나 안약을 사용하여 눈을 강화시킴으로써 치료할 수 있습니다.
안검하수가 있는 어린이는 수술 여부와 관계없이 안과 전문의와 정기 안과 검진을 받아야 합니다.
자녀의 안과 의사에게 얼마나 자주 시력 검사를 받아야하는지 묻습니다. 어린이의 눈이 자라며 모양이 변경되면 약시, 굴절 이상 및 기타 안구 문제를 확인해야 합니다.
3.성인의 안검하수
성인 안검하수는 레바토르 리드 muscle이 눈꺼풀에서 증가하거나 분리 될 때 발생합니다.
이는 노화나 눈 손상으로 발생할 수 있는데, 안과 수술 후 나타나는 부작용도 있습니다.
희귀한 질병이나 종양은 눈꺼풀 근육에 영향을 미치므로 안검 하수를 일으킬 수 있습니다.
안과 의사는 안검 하수의 원인을 결정하여 치료를 권고할 것입니다.
그들은 철저한 시력 검사를 하고 혈액 검사와 비디오 검사를 받고 싶어할 것입니다.
안과 의사는 눈꺼풀 근육이 더 잘 작동하도록 돕기 위해 수술을 추천할 수 있습니다.
노인의 안검하수를 치료하는 약물
새로운 안약은 일부 성인에게 발생하며, 후천성 안검하수가 있습니다.
옥시메타졸린은 눈꺼풀을 들어 올리는 근육에 영향을 미칩니다.
후천성 안검하수가 있는 사람들 중 일부는 방울을 사용한 후 눈꺼풀이 넓어집니다.
일을 계속하기 위해 하루 종일 사용해야 합니다.
옥시 메타 졸린은 외상이나 신경 문제로 인한 것과 같은 처진 눈꺼풀의 특정 유형에 효과적이지 않습니다.
그러니 안과 의사에게 그것이 당신에게 맞는지 물어보세요.
성인 안검 하수 수술 국소 마취는 눈과 주변 지역을 마비시키는 데 사용됩니다.
가끔 외과의사는 근육에 약간의 조정을 해야 합니다. 플랩을 들어 올리는 것입니다.
더 심한 안검 하수에서 레바토르 근육을 강화하고 눈꺼풀에 다시 부착해야할 수도 있습니다.
다른 수술 절차와 마찬가지로, 안검 하수도 치료는 잠재적 위험과 합병증과 관련이 있습니다.
4.원인
안검하수는 레바토르 팔페브라 초균 근육이 제대로 수축하지 않을 때 발생합니다.
이것은 타살 근육이 적절하게 운동하지 않을 경우 발생할 수 있습니다.
여러 유형의 조건이 이를 유발할 수 있습니다.
예를 들어, 안검하수는 다음과 같이 유발 될 수 있습니다.
구조적 문제 (예 : 미토콘드리아 근 병증 또는 근 위축증)
출생시 희귀 질환 (예 : 선천성 안과 섬유증) levator aponeurosis
좋은 족근을 가지는 것
눈꺼풀에 너무 많은 압력이 가해지는 문제 (눈꺼풀 종양 등)
부상 (특히 눈 수술 중)
신경 문제 (예 : 세 번째 뇌 신경 또는 호너 증후군)
근육과 신경의 연결 문제 (중증 근무력과 마찬가지로)
일부 눈의 문제는 눈꺼풀에 문제가 없더라도 안검하수처럼 보일 수 있습니다. 예를 들어, 눈꺼풀 피부는 노인과 눈 주위에 지방이 증가합니다. 겉으로는 안검 하수로 보일 수 있습니다.
5.치료
치료는 종종 눈꺼풀 근육이 얼마나 잘 작동하는지에 달려 있습니다.
안검하수가 시력에 영향을 주지 않고 환자가 외모에 신경을 쓰지 않는다면 의사는 어떤 치료도 권할 수 없습니다.
안검하수가 시력, 외모 또는 둘 다에 문제를 일으키는 경우 치료가 필요할 수 있습니다.
안검하수가 질병에 의한 것인지, 노화에 의한 것인지에 따라 치료의 종류가 다릅니다.
노화로 인한 PTOSIS 치료는 보통 수술이 필요하지만,
수술이 수행되고 마취가 수행됩니다 (환자는 깨어 있지만 치료는 느끼지 않습니다).
안검하수를 치료하기 위한 수술 유형은 다음과 같습니다.
외과의사는 눈꺼풀의 상단 피부에 구멍을 뚫어 눈꺼풀을 들어 올리는 작은 근육을 찾을 수 있습니다.
외과의사는 이 근육을 조이고 눈꺼풀을 들어 올리기 위해 바늘을 바느질합니다.
따라서 눈꺼풀의 피부에 적용하는 것은 많은 점으로 닫힙니다.
외과의사는 눈꺼풀 아래 전체 수술을 할 수 있는데, 이 경우 눈꺼풀을 들어올려 근육을 아래에 넣습니다.
피부 절개는 필요 없을 수 있습니다.
수술 후 의사는 눈을 관리하는 방법을 설명합니다.
수술 후 환자가 의사에게 돌아가 결과를 확인하는 것이 중요합니다.
때로는 눈꺼풀이 약간 걸리거나 눈꺼풀이 완전히 닫히지 않을 수도 있습니다.
의사가이 사실을 알게 되면 추가 치료가 권장 될 수 있습니다.
'질병정보' 카테고리의 다른 글
| 담관염(cholangitis) (0) | 2022.11.10 |
|---|---|
| 뇌하수체 선종(pituitary adenoma) (0) | 2022.11.10 |
| 강직성 척추염(ankylosing spondylitis) (0) | 2022.11.10 |
| 과민성 대장 증후군(irritable bowel syndrome) (0) | 2022.11.10 |
| 갑상선 기능 저하증(hypothyroidism) (0) | 2022.11.10 |




